
Cat. No. HS-398 002 |
200 µl antiserum, lyophilized. For reconstitution add 200 µl H2O, then aliquot and store at -20°C until use. Antibodies should be stored at +4°C when still lyophilized. Do not freeze! |
Applications |
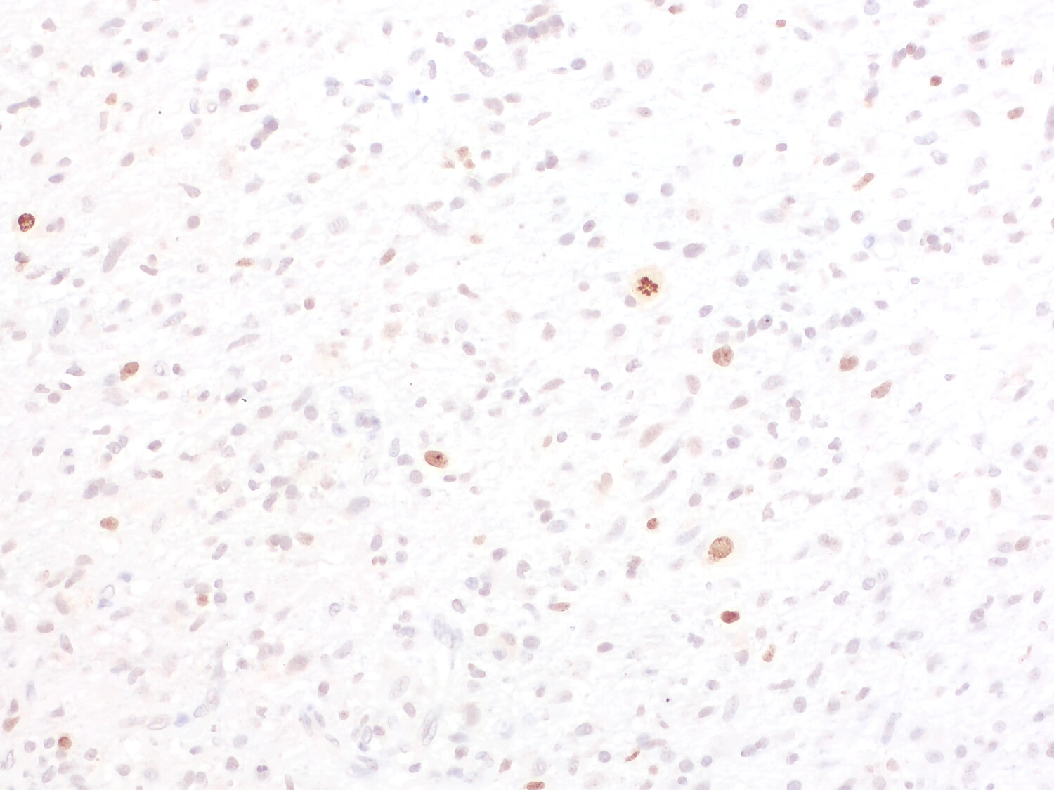
IP: not tested yet ICC: not tested yet IHC: not tested yet IHC-P: 1 : 2000 gallery |
Immunogen | Synthetic peptide corresponding to AA 1251 to 1271 from human Ki67 (UniProt Id: P46013) |
Reactivity |
Reacts with: human (P46013). No signal: mouse (E9PVX6), rat (D4A0Y6). Other species not tested yet. |
Data sheet | hs-398_002.pdf |
Detection of proliferation antigen Ki-67 in human colon cancer
Expression of the nuclear protein Ki 67 is strictly associated with cell proliferation and preferentially expressed during the late G1, S, G2 and M phases of the cell cycle. Resting cells (G0 phase) lack Ki 67 expression .
Immunohistochemical detection of Ki 67 is a simple and reproducible method to determine the tumour proliferative index and is a predictive and prognostic biomarker in certain types of human cancer, such as breast cancer, gastric cancer or prostate cancer. Moreover, higher Ki 67 scores may be associated with increased tumor sensitivity to radiation therapy and chemotherapy.
In preclinical and clinical studies Ki 67 expression is used as a pharmacodynamic biomarker. Absence of a decrease in Ki 67 early in treatment might be predictive of therapeutic failure.