
Cat. No. HS-351 211 |
100 µg purified IgG, lyophilized. Albumin and azide were added for stabilization. For reconstitution add 100 µl H2O to get a 1mg/ml solution in PBS. Then aliquot and store at -20°C to -80°C until use. Antibodies should be stored at +4°C when still lyophilized. Do not freeze! |
Applications | |
Clone | 296B9 |
Subtype | IgG1 (κ light chain) |
Immunogen | Recombinant protein corresponding to the extracellular domain of human CD31 (UniProt Id: P16284) |
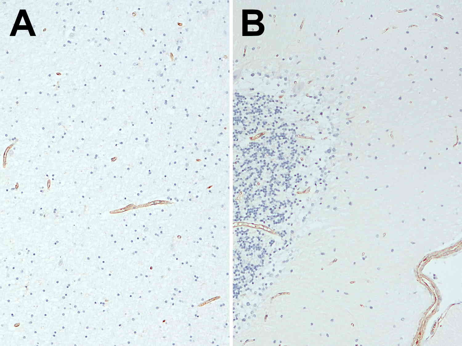
Reactivity |
Reacts with: human (P16284). No signal: mouse (Q08481), rat. Other species not tested yet. |
Data sheet | hs-351_211.pdf |
Visualization of blood vessels in a human placenta section
CD31 or platelet/endothelial cell adhesion molecule-1 (PECAM-1) is a cell adhesion molecule that contains a single trans-membrane domain and 6 Ig-like C2-type (immunoglobulin-like) domains (1). It is expressed on the surface of leukocytes and platelets and is primarily concentrated at endothelial cell-cell junctions (2). CD31 plays a role in several important biological processes, such as vascular development, maintenance of vascular endothelial barrier function and leukocyte emigration at inflammatory sites. In addition, CD31 promotes cancer metastasis by inducing epithelial-mesenchymal transition (3).