
Cat. No. HS-455 014 |
100 µl antiserum, lyophilized. For reconstitution add 100 µl H2O, then aliquot and store at -20°C until use. Antibodies should be stored at +4°C when still lyophilized. Do not freeze! |
Applications |
IP: not tested yet ICC: not tested yet IHC: not tested yet IHC-P: 1 : 300 gallery |
Immunogen | Synthetic peptide corresponding to residues near the carboxy terminus of human CD163 (UniProt Id: Q86VB7) |
Reactivity |
Reacts with: human (Q86VB7). No signal: mouse (Q2VLH6). Other species not tested yet. |
Data sheet | hs-455_014.pdf |
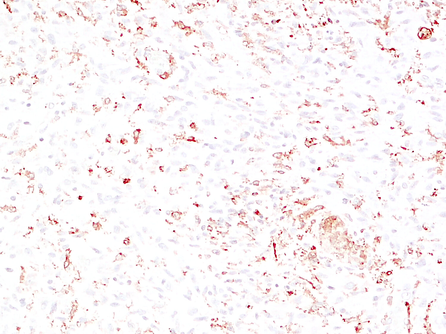
Staining of human CD163 in human spleen with anti-human CD163 but no staining of mouse CD163 in mouse spleen
CD163 is a member of the group B scavenger receptor cysteine-rich (SRCR) superfamily expressed on human and murine macrophages. CD163 is also expressed in human monocytes, but not in circulating mouse monocytes (1). CD163 expression is significantly induced by anti-inflammatory stimuli like glucocorticoids and dexamethasone. Inflammatory stimuli like interferon γ and LPS suppress CD163 expression in macrophages (2). In mice, CD163 is mainly expressed by tissue-resident macrophages including Kupffer cells of the liver, red pulp macrophages in the spleen, perivascular macrophages of the CNS (3), and bone-marrow resident macrophages (4), but not by classical bone-marrow derived macrophages (4). In malignant tumors in mice and humans, macrophage CD163-mediated induction of IL-6 promotes tumor development and progression (4). The pool of tumor-associated macrophages (TAMs) is composed of both newly recruited monocyte derived macrophages and resident macrophages (5). CD163-positive tissue-resident macrophages have been shown to play a specific role in the malignant spread of disseminated tumor cells and the development of invasive disease in a mouse model of metastatic ovarian cancer (1). CD163 is considered useful to distinguish CD163-positive resident macrophages from CD163-negative bone-marrow derived macrophages in mice (4).