CD38 antibody - HS-537 003

CD38 is a cell surface protein that functions as both a receptor and an enzyme
Rabbit polyclonal purified antibody
Cat. No.: HS-537 003
Amount: 50 µg
Price: $375.00
Cat. No. HS-537 003 50 µg specific antibody, lyophilized. Affinity purified with the immunogen. Albumin and azide were added for stabilization. For reconstitution add 50 µl H2O to get a 1mg/ml solution in PBS. Then aliquot and store at -20°C to -80°C until use.
Antibodies should be stored at +4°C when still lyophilized. Do not freeze!
Applications
 
WB: 1 : 1000 (AP staining) gallery  
ICC: not tested yet
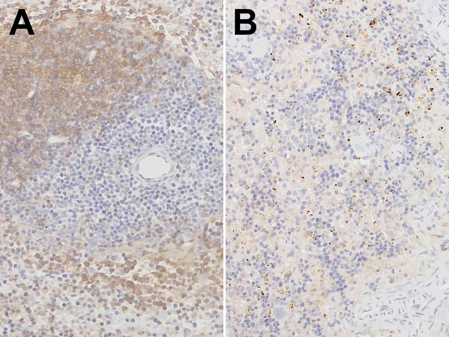
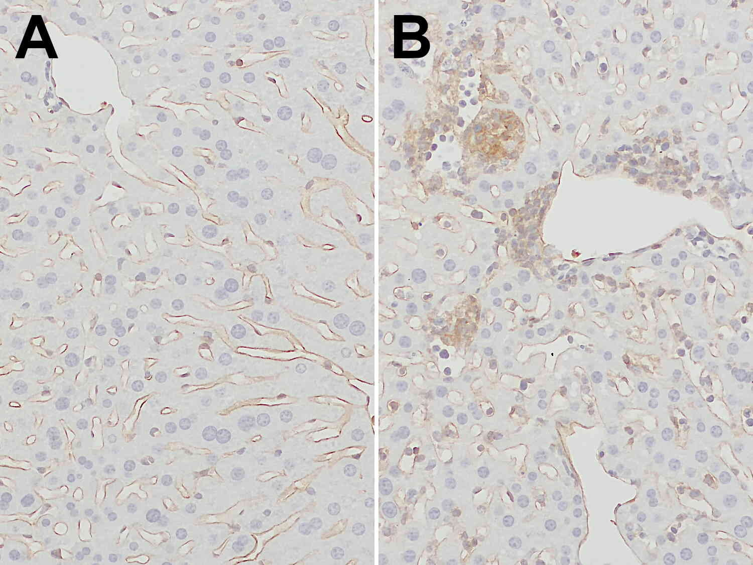
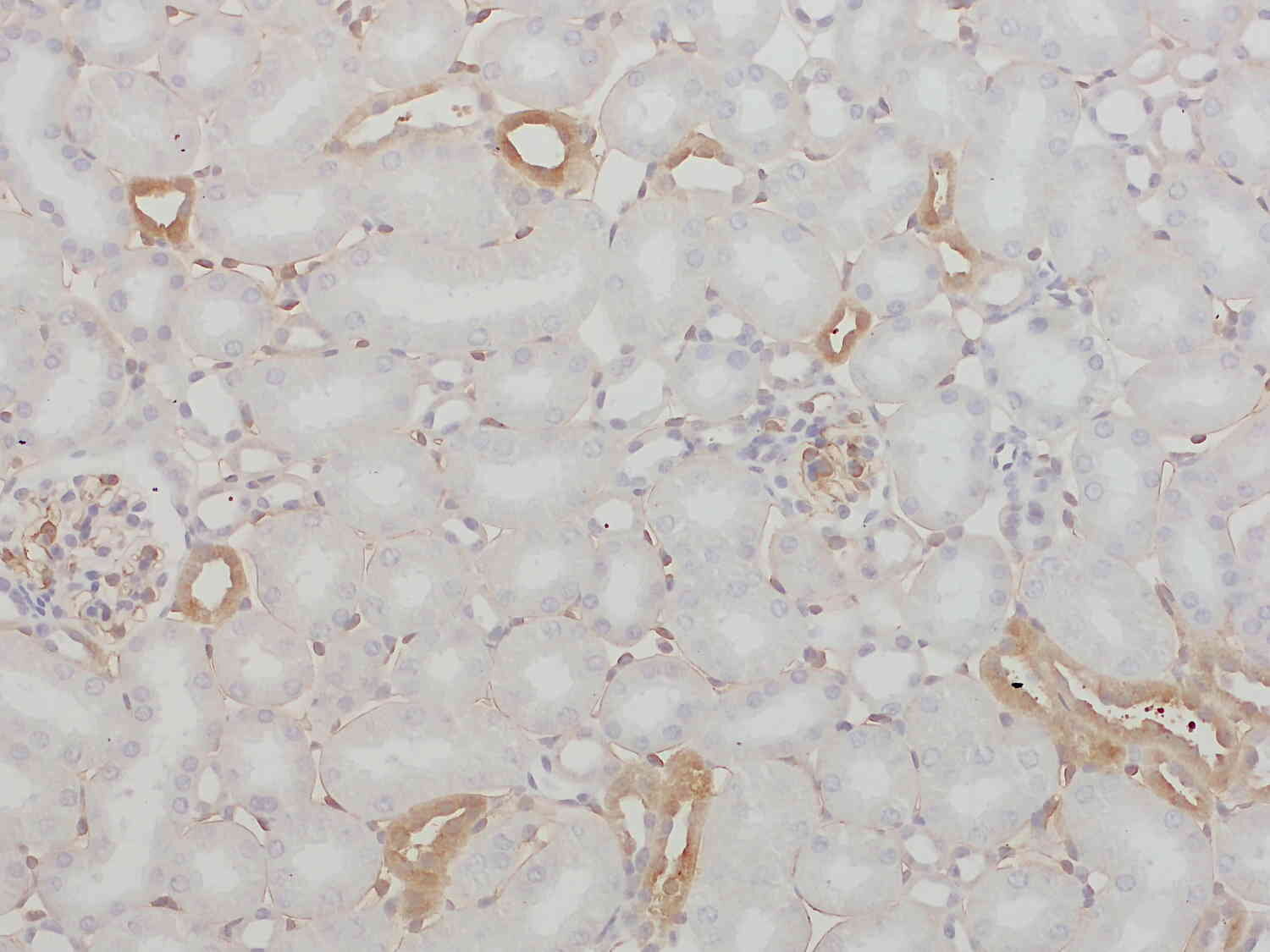
IHC: 1 : 500 (see remarks) gallery  
IHC-P (FFPE): 1 : 200 up to 1 : 500 gallery  
ELISA: not tested yet

Western blot (WB); separation of proteins by PAGE and subsequent transfer to a membrane. Detection of target molecules is carried out with antibodies. Some antibodies require special sample preparation steps. For details, please refer to the “Remarks” section.

Immunocytochemistry (ICC) on 4% PFA fixed cells. Immunoreactivity is usually revealed by fluorescence. Some antibodies require special fixation methods. For details, please refer to the “Remarks” section.

Immunohistochemistry (IHC) on 4% PFA perfusion fixed tissue with 24h PFA post fixation. Immunoreactivity is usually revealed by fluorescence or a chromogenic substrate. Some antibodies require special fixation methods or antigen retrieval steps. For details, please refer to the ”Remarks” section.

Immunohistochemistry (IHC-P) of formalin fixed, paraffin embedded (FFPE) tissue (some antibodies require special antigen retrieval steps, please refer to the ”Remarks” section). Immunoreactivity is usually revealed by fluorescence or a chromogenic substrate.

Enzyme-linked immunosorbent assay (ELISA); a frequently employed method to quantify target-molecules in solution. The detection of some proteins requires special solubilization steps. For further information, please refer to the „Remarks“ section.

Immunogen Synthetic peptide corresponding to residues near the amino terminus of mouse CD38 (UniProt Id: P56528)
Reactivity Reacts with: mouse (P56528).
No signal: rat (Q64244), human (P28907).
Other species not tested yet.
Remarks

IHC: One of the following antigen retrievals is required: Tris-EDTA buffer pH 9, citrate buffer pH 6.

Data sheet Datasheet hs-537_003
Cat. No.: HS-537 003
Amount: 50 µg
Price: $375.00

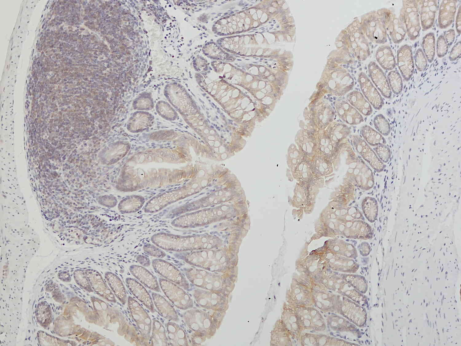
CD38 is highly expressed on immune cells in the mouse colon mucosa

Background

CD38 is a 45-kD transmembrane glycoprotein that functions as both an ectoenzyme and a receptor. Its catalytic domain cleaves NAD⁺ and NADP⁺ to produce cyclic ADP-ribose (cADPR), ADP-ribose (ADPR), and NAADP. These reaction products mobilize intracellular Ca²⁺ stores and influence Ca²⁺ signaling (1). As a receptor, CD38 binds to CD31, mediating immune cell adhesion and transmigration across endothelial barriers (2). CD38 also associates with various membrane proteins or complexes, such as CD16, T cell receptors, and B cell receptors (3). CD38 is expressed almost universally among multiple immune cell populations, including T cells, B cells, NK cells, plasma cells, and macrophages, and its expression is induced by pro-inflammatory cytokines, such as tumor necrosis factor alpha (TNFα), interferon gamma (IFNγ), and the bacterial component lipopolysaccharide (LPS) (3). Non-hematopoietic tissue expression includes prostatic epithelial cells, pancreatic islets, airway and vascular smooth muscle cells, the kidney, the intestinal epithelium, and the brain (4). Elevated CD38 activity has been linked to several diseases, including allergic inflammation and asthma, chronic lymphocytic leukemia (CLL), multiple myeloma (5), autoimmune diseases (4), heart disease and neurological disorders (6). CD38 levels also increase with aging and play a role in age-related diseases (7).

Protocols for HS-537 003

Certificates

ISO 9001 2015 Quality Management System and Green Lab Platinum certification level for sustaining laboratory processes.

Newsletter

Sign up for our newsletter and get the latest updates and news.
 

Please provide a valid E-Mail-Address
Please provide a valid First name
Please provide a valid Last name