Immunohistochemical staining of a mouse olfactory bulb for T-bet (red) and Tbr2 (green) shows their expression in mitral and tufted cells.

Immunohistochemical staining of a mouse olfactory bulb for T-bet (red) and Tbr2 (green) shows their expression in mitral and tufted cells.
Immunohistochemical staining of a mouse syngeneic tumor using anti-CD68 (red) and anti-F4/80 (green) highlights infiltrating macrophages.
Immunodetection of CLEC4F-positive Kupffer cells (red) and F4/80-positive macrophages (green) in a mouse liver.
Immunohistochemical staining of a mouse lung section using anti-ICAM1 (red) and anti-LAMP3 (green) shows LAMP3-positive pneumocytes II within the alveolar epithelium.
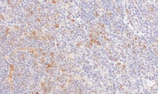
Indirect immunostaining of a human FFPE tonsil section shows that HNK-1 / CD57-positive cells are predominantly found in the germinal centers.
Immunohistochemical staining of a mouse spleen section using anti-Ly6G (red) and anti-CD11b (green) highlights Ly6G+ CD11b+ neutrophils.
Immunohistochemical staining of mouse liver using anti-Chil3 (red) and anti-IBA1 (green) highlights M2 polarized Kupffer cells.
Immunohistochemical staining of a mouse brain section using anti-mouse CD163 (red) and anti-mouse CD31 (green) highlights the border-associated macrophages (BAMs) at vessel margins.
Immunohistochemical staining of the olfactory bulb of a SARS-CoV-2 infected K18-hACE2 transgenic mouse identifies iNOS-positive microglia cells.
Immunohistochemical staining of a human FFPE tonsil section using anti-human CD19 and anti-human CD3e identifies B cells (red) and T cells green.
Immunohistochemical staining of a patient-derived mouse xenograft model (PDX) with rat anti-mouse Lamin B1 (brown) and rabbit anti-human Lamin B1 (red) identifies cells from mouse or human origin.
Detection of nuclear Lamin B1 in a formalin fixed paraffin embedded (FFPE) mouse lung section.
Immunohistochemical staining of a mouse olfactory bulb for T-bet (red) and Tbr2 (green) shows their expression in mitral and tufted cells.
Immunohistochemical staining of a mouse syngeneic tumor using anti-CD68 (red) and anti-F4/80 (green) highlights infiltrating macrophages.
Immunodetection of CLEC4F-positive Kupffer cells (red) and F4/80-positive macrophages (green) in a mouse liver.
Immunohistochemical staining of a mouse lung section using anti-ICAM1 (red) and anti-LAMP3 (green) shows LAMP3-positive pneumocytes II within the alveolar epithelium.
Indirect immunostaining of a human FFPE tonsil section shows that HNK-1 / CD57-positive cells are predominantly found in the germinal centers.
Immunohistochemical staining of a mouse spleen section using anti-Ly6G (red) and anti-CD11b (green) highlights Ly6G+ CD11b+ neutrophils.
Immunohistochemical staining of mouse liver using anti-Chil3 (red) and anti-IBA1 (green) highlights M2 polarized Kupffer cells.
Immunohistochemical staining of a mouse brain section using anti-mouse CD163 (red) and anti-mouse CD31 (green) highlights the border-associated macrophages (BAMs) at vessel margins.
Immunohistochemical staining of the olfactory bulb of a SARS-CoV-2 infected K18-hACE2 transgenic mouse identifies iNOS-positive microglia cells.
Immunohistochemical staining of a human FFPE tonsil section using anti-human CD19 and anti-human CD3e identifies B cells (red) and T cells green.
Immunohistochemical staining of a patient-derived mouse xenograft model (PDX) with rat anti-mouse Lamin B1 (brown) and rabbit anti-human Lamin B1 (red) identifies cells from mouse or human origin.
Detection of nuclear Lamin B1 in a formalin fixed paraffin embedded (FFPE) mouse lung section.